審美歯科
2026/05/13
|
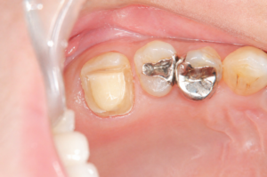
治療前 ![]() |
治療後 ![]() |
| 相談内容 |
保険で入っていた銀色の被せ物を白くしたい |
| 年齢・性別 |
30代・男性 |
| カウンセリング・診断結果 |
審美的改善目的にて白色修復への変更が適応と判断 |
| 行ったご提案・治療内容 |
必要に応じてう蝕除去・形成を行い、右上6番セラミックインレーにて修復を行った |
| 術後の経過・現在の様子 |
経過良好 |
| 治療期間 |
3週間 |
| 治療回数 |
2回 |
| 総額治療費の目安 |
右上6番 セラミックインレー 66,000円 |
| 治療のリスクについて |
セラミック修復物は強い衝撃や歯ぎしりなどにより破損する可能性があります。 |
| クリニックより |
「銀歯を白くしたい」といった見た目のお悩みも、お気軽にご相談ください。患者様一人ひとりに合わせた最適な治療をご提案いたします。 |
しんやデンタルクリニック千歳烏山:https://sdc-chitokara.jp/
〒157-0062 世田谷区南烏山5-12-4
電話:03-6909-1992
交通アクセス
千歳烏山駅より徒歩2分




