ホーム
Home
当院の特徴
Feature
ごあいさつ
Message
診療項目
Menu
予防歯科
歯周病治療
むし歯治療
矯正歯科
審美歯科
ホワイトニング
インプラント
ブリッジ
入れ歯
親知らず外来
小児歯科
歯を失った方へ
医院案内
Clinic
医院案内・スタッフ紹介
施設基準に関するご案内
料金表
お知らせ・更新情報
医院ブログ
ご予約・お問い合わせ
アクセス
Access
症例集
Case
03-6909-1992
24時間WEB予約
ホーム
>
症例集
「症例集」の記事一覧
2026/04/08
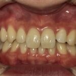
オフィスホワイトニング症例
治療前 治療後 相談内容 歯を白くしたい 年齢・性別 ...
2026/03/06
テスト
ホーム
Home
当院の特徴
Feature
ごあいさつ
Message
院長・スタッフ紹介
Staff
診療項目
Menu
▼
予防歯科
歯周病治療
むし歯治療
矯正歯科
審美歯科
ホワイトニング
インプラント
ブリッジ
入れ歯
親知らず外来
小児歯科
歯を失った方へ
症例集
Case
医院案内
Clinic
▼
医院案内・スタッフ紹介
施設基準に関するご案内
お知らせ・更新情報
医院ブログ
ご予約・お問い合わせ
料金表
Price
24時間WEB予約
Reservation
アクセス
Access
アクセス
診療時間
お電話
03-6909-1992
24時間
WEB予約