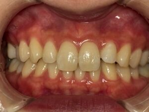
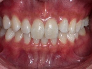
オフィスホワイトニング症例
|
治療前
|
治療後
|
| 相談内容 |
歯を白くしたい |
| 年齢・性別 |
20代・女性 |
| カウンセリング・診断結果 |
歯が黄色いことが気になるため、歯を白くしたい。芸能人ほど白くならなくても良い。性格的にホームホワイトニングはできない。 |
| 行ったご提案・治療内容 |
オフィスホワイトニング1回 |
| 術後の経過・現在の様子 |
術後痛みもなく順調 |
| 治療期間 |
1日 |
| 治療回数 |
1回 |
| 総額治療費の目安 |
33,000円 現在ホワイトニングキャンペーン中のため33,000円→16,500円 |
| 治療のリスクについて |
ホワイトニング終了後24時間は歯が着色しやすくなるため、色の濃い食べ物は気をつける。 |
| クリニックより |
1回の施術で理想の白さになりました。 クリーニングを継続して、歯の色の白さを保ちましょう。 |
しんやデンタルクリニック千歳烏山:https://sdc-chitokara.jp/
〒157-0062 世田谷区南烏山5-12-4
電話:03-6909-1992
交通アクセス
千歳烏山駅より徒歩2分




