ホワイトニング
- カウンセリングとお口のチェック
初めて来院された方、久しぶりに来院された方は、虫歯・歯周病のチェックをします。 - 歯石除去・クリーニング(施術前の準備)
- 虫歯治療や歯周病治療が必要な方は、先に治療していきます。
- ホワイトニングジェルの塗布と光照射(オフィスの場合)
- 効果の確認と術後の注意点のご説明
- カウンセリングとお口のチェック
- 初めて来院された方、久しぶりに来院された方は、虫歯・歯周病のチェックをします。
虫歯治療や歯周病治療が必要な方は、先に治療していきます。 - 初めて来院された方、久しぶりに来院された方は、虫歯・歯周病のチェックをします。
- カスタムトレー(マウスピース)の作製(来院)
- 使用方法のご説明と薬剤のお渡し(来院)
- Qホワイトニングは誰でも受けられますか?
- A基本的には可能ですが、妊娠中・授乳中の女性、重度の知覚過敏がある方、無カタラーゼ症の方などは施術をお断りする場合があります。
また、虫歯や歯周病がある場合は、先にそちらの治療を優先します。まずはお気軽にご相談ください。 - Q施術中に痛みやしみを感じることはありますか?
- A個人差はありますが、薬剤によって一時的に歯がしみる(知覚過敏)ことがあります。
当院では、痛みを軽減するための知覚過敏抑制剤の塗布や、ホームホワイトニングの場合は薬剤の濃度や装着時間を調整するなど、痛みに配慮した対応を行っています。 - Q治療の効果はどれくらいで現れますか?
- A施術方法によって異なります。オフィスホワイトニングは即効性があり、1回の施術で色の変化を実感できます。
ホームホワイトニングは、通常1週間~2週間ほどで効果が現れ始め、徐々に自然な白さになります。 - Qホワイトニングの効果はどれくらい持続しますか?
- A個人差や生活習慣によりますが、一般的に半年から2年程度です。
コーヒーや紅茶、赤ワインなどの着色しやすい飲食物を控えたり、定期的なクリーニング(メンテナンス)を行うことで、白さをより長く維持できます。 - Q白さが後戻りしてしまった場合、どうすればいいですか?
- A白さが後戻りすることを「色戻り」と呼びます。
気になる場合は、ホームホワイトニング用の薬剤を追加購入して行う「タッチアップ」をおすすめしています。
定期的なメンテナンスプランもご用意していますのでご相談ください。 - Q差し歯や被せ物も白くなりますか?
- Aホワイトニングで白くなるのは天然の歯のみです。差し歯や詰め物などの人工物は白くすることはできません。
人工物の色も統一したい場合は、ホワイトニング後にセラミック治療などで再治療を行う必要があります。
ご予約受付フォーム
しんやデンタルクリニック千歳烏山が提供するホワイトニング
「なりたい白さ」を叶えるための当院のこだわり
経験豊富な歯科医師・衛生士による丁寧なカウンセリング
知覚過敏に配慮した痛みの少ない施術への取り組み
常に最新のホワイトニング技術を学び、提供
後戻り対策まで含めたトータルサポート体制
一度の施術で歯が白くなったことを実感できる
市販で行うホワイトニングと歯科医院で行うホワイトニングの違いって?
| 比較項目 | 市販のホワイトニング | 歯科医院のホワイトニング |
|---|---|---|
どこで行う? |
自宅 |
歯科医院 |
主なもの |
歯磨き粉・シートなど |
専用の薬剤・機器 |
白くなる理由 |
表面の汚れを落とす |
歯の中の色まで白くする |
白さの変化 |
少し明るくなる程度 |
はっきり白くなる |
効果が出るまで |
時間がかかる |
比較的早い |
効果の持ち |
短い |
長持ちしやすい |
安心感 |
自分で判断 |
歯科医師が管理 |
費用 |
安い |
やや高め |
ホワイトニングの種類と特徴
当院で選べるホワイトニングの種類とメリット・デメリット
オフィスホワイトニング(歯科医院で行う施術)
ホームホワイトニング(ご自宅で行う施術)
デュアルホワイトニング(オフィスとホームの組み合わせ)
ウォーキングブリーチ(神経を抜いた歯のホワイトニング)
施術方法 |
メリット (利点) |
デメリット (留意点) |
オフィスホワイトニング |
✅ 即効性がある ✅ 高濃度薬剤を使用 ✅ 専門家による施術 |
❌ 色戻りが早い傾向 ❌ 知覚過敏のリスク ❌ 費用が高め |
ホームホワイトニング |
✅ 自然な白さ ✅ 色戻りしにくい ✅ 費用が比較的安価 |
❌ 即効性がない ❌ 患者自身の管理が必要 ❌ 装着時間の制約 |
デュアルホワイトニング |
✅ 自分の理想に1番近づける ✅ 理想の白さへ導く |
❌ 費用が最も高額になる ❌ 負担と手間が増える |
ウォーキングブリーチ | ✅ 変色歯を単独で白くできる ✅ 内部から漂白 |
❌ 対象となる歯が限定される ❌ 治療期間が長くなることがある |
施術の流れと安心感
オフィスホワイトニングの治療の流れ
ホームホワイトニングの治療の流れ
当院での症例
![]() |
![]() |
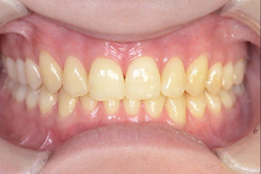
ケースタイトル |
デュアルホワイトニング |
年齢/性別 |
20代 女性 |
ご相談内容 |
写真映りをよくしたいので歯を白くしたい |
カウンセリング診断結果 |
デュアルホワイトニング |
提案・治療内容 |
拝見した結果、現在の歯の色調から目標としている色調までオフィスホワイトニング1回では理想の白さに届くことが難しいと判断。 |
術後の経過・現在の様子 |
3ヶ月に1回の検診で着色除去し、白さを持続している |
治療期間 |
オフィスホワイトニング1回(1日) |
治療回数 |
ホームホワイトニングジェル4本(20日間) |
総額治療費の目安 |
|
リスク・副作用 |
冷たい物・風がしみる |
費用
オフィスホワイトニング |
¥33,000 |
ホームホワイトニング |
¥22,000 |
ホームホワイトニング:ジェルのみの購入 |
¥5,500 |
デュアルホワイトニング |
¥44,000 |
現在ホワイトニングキャンペーン実施中
平日10時〜17時までのご予約限定の方
オフィスホワイトニング ¥33,000 ¥16,500
デュアルホワイトニング ¥44,000 ¥27,500




